Kalça röntgeni nasıl yorumlanır? hangi bulgular önemlidir?
Kalça röntgeni, kalça ekleminin ve çevresindeki yapıların değerlendirilmesinde önemli bir görüntüleme yöntemidir. Bu yazıda, röntgen çekim teknikleri, yorumlama aşamaları ve dikkat edilmesi gereken bulgular hakkında bilgi verilmektedir. Doğru yorumlama, tedavi planlaması için kritik öneme sahiptir.
Kalça Röntgeni Nasıl Yorumlanır? Hangi Bulgular Önemlidir?Kalça röntgeni, kalça eklemi ve çevresindeki yapıların değerlendirilmesi için sıklıkla kullanılan bir görüntüleme yöntemidir. Bu görüntüleme, çeşitli ortopedik ve romatolojik durumların tanısında önemli bir rol oynar. Röntgen filmlerinin yorumlanması, klinik pratiğin vazgeçilmez bir parçasıdır ve sağlık profesyonellerinin doğru bir değerlendirme yapabilmesi için belirli standartlara uyması gerekmektedir. Röntgen Çekimi ve Pozisyonlama Röntgen çekimi, genellikle iki temel pozisyonda gerçekleştirilir: anterior-posterior (AP) ve lateral pozisyon.
Yorumlama Aşamaları Kalça röntgenlerini yorumlarken, aşağıdaki aşamalara dikkat edilmelidir:
Önemli Bulgular Röntgen görüntülerinde dikkat edilmesi gereken bazı önemli bulgular şunlardır:
Sonuç ve Klinik Önemi Kalça röntgeni, kalça eklemi ile ilgili birçok patolojik durumu değerlendirmek için vazgeçilmez bir araçtır. Röntgen görüntülerinin doğru yorumlanması, sağlık profesyonellerinin hastalara yönelik uygun tedavi planlarını oluşturabilmelerine yardımcı olur. Röntgen bulgularının yanı sıra, hastanın klinik öyküsü, fizik muayene bulguları ve diğer görüntüleme yöntemleri ile birleştirilerek daha kapsamlı bir değerlendirme yapılması önerilir. Ek Bilgiler Röntgen yorumlama sürecinde, görüntülerin yanı sıra hastanın yaşı, cinsiyeti, tıbbi geçmişi ve mevcut semptomları da dikkate alınmalıdır. Bu, doğru bir tanı koyma ve etkili bir tedavi planı geliştirme sürecinde kritik öneme sahiptir. Ayrıca, kalça röntgeni sonuçları, diğer görüntüleme yöntemleri (örneğin, MR veya BT) ile desteklenerek daha kapsamlı bir değerlendirme sağlanabilir. |






































Kalça röntgenini yorumlarken hangi aşamalara dikkat etmemiz gerektiği konusunda merak ettiklerim var. Görüntü kalitesinin yeterli olup olmadığını kontrol etmenin yanı sıra, anatomik yapıları da dikkatlice incelemek gerektiğini anlıyorum. Ancak, hastanın yaşı ve cinsiyetinin bu süreçteki önemi nedir? Özellikle patolojik bulgular arasında osteoartrit, fraktür ve displazi gibi durumları araştırmamız gerektiği belirtilmiş. Bu bulguların röntgen görüntülerinde nasıl göründüğünü daha iyi anlamak için neleri gözlemlememiz gerekir? Yani, osteoartrit bulguları röntgende ne şekilde belirginleşiyor?
Omay Bey, kalça röntgenini yorumlarken dikkat edilmesi gereken bazı önemli aşamalara değinmek istiyorum.
Görüntü Kalitesi: Öncelikle, röntgen görüntüsünün kalitesi yeterli olmalı. Yeterli maruz kalma süresi, doğru pozlama ve uygun filtreleme ile görüntü netliği sağlanmalıdır.
Anatomik Yapılar: Anatomik yapıları incelerken, femur başı, asetabulum ve çevre yumuşak dokulara odaklanmalısınız. Bu yapıların normal görünümüne göre değerlendirme yaparak, anormal bulguları daha kolay tespit edebilirsiniz.
Yaş ve Cinsiyetin Önemi: Hastanın yaşı, yaşlanma ile ilişkili değişikliklerin değerlendirilmesinde kritik bir faktördür. Özellikle osteoartrit gibi dejeneratif hastalıklar yaş ilerledikçe daha sık görülmektedir. Cinsiyet de bazı durumlarda önemli olabilir, zira bazı hastalıklar kadınlarda veya erkeklerde daha fazla görülebilir.
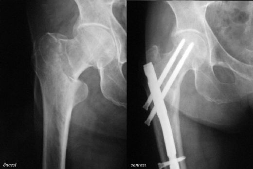
Patolojik Bulgular: Osteoartrit bulguları röntgende genellikle femur başında ve asetabulumda kireçlenme, eklem aralığında daralma, osteofit oluşumu ve subkondral skleroz olarak belirginleşir. Fraktür durumlarında, kemik bütünlüğünde bozulma ve yer değiştirmeler gözlemlenebilirken, displazide ise eklem yapısının anormal gelişimi dikkat çeker.
Bu bulguları değerlendirirken, hastanın semptomlarını ve klinik geçmişini de göz önünde bulundurarak daha kapsamlı bir değerlendirme yapabilirsiniz.